Facetas em resina: O expert Dr. Sergio Oliveira explica os detalhes sobre as facetas dentais em resina composta
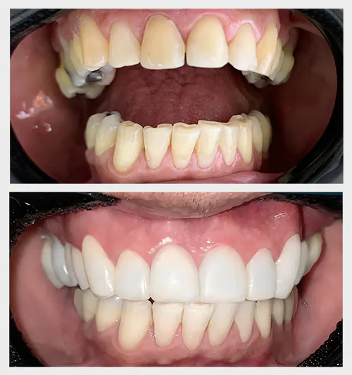
As facetas dentais em resina ou mais tecnicamente falando laminados em resina composta são finas camadas de material de resina que são aplicadas na frente dos dentes para melhorar sua aparência. Projetadas para corrigir imperfeições, como manchas, descolorações, irregularidades no formato e espaçamentos, as facetas em resina são uma alternativa estética interessante a considerar.
Descubra a Beleza e os Benefícios das Facetas Dentais em Resina: Sua indicação, cuidados e respostas para perguntas frequentes
As facetas em resina são a solução ideal para transformar a aparência dos seus dentes. Na Clínica Muglia Odontologia, localizada em Vargem Grande Paulista, você pode contar com o Dr. Sergio, um verdadeiro expert em facetas dentais. Saiba mais sobre esse procedimento da odontologia estética, sua correta indicação, cuidados necessários e respostas para perguntas frequentes.
O que são Facetas Dentais em Resina?
As facetas dentais em resina ou mais tecnicamente falando laminados em resina composta são finas camadas de material de resina que são aplicadas na frente dos dentes para melhorar sua aparência. Projetadas para corrigir imperfeições, como manchas, descolorações, irregularidades no formato e espaçamentos, as facetas em resina oferecem resultados estéticos naturais e duradouros.
Expertise do Dr. Sergio: Transformando Sorrisos com Precisão
Com sua vasta experiência e expertise em facetas dentais em resina, o Dr. Sergio é o profissional ideal para tornar seu sorriso ainda mais deslumbrante. Sua habilidade técnica refinada, aliada ao conhecimento atualizado, garante resultados estéticos excepcionais. Ao escolher o Dr. Sergio na Clínica Muglia, você estará em mãos de um verdadeiro expert em facetas dentais em resina.

Correta Indicação e Avaliação Personalizada
O Dr. Sergio realiza uma avaliação minuciosa para garantir a correta indicação das facetas dentais em resina. Durante a consulta, ele examinará seus dentes, ouvirá suas expectativas e metas estéticas, e desenvolverá um plano personalizado para atender às suas necessidades. Com sua expertise, ele orientará sobre a viabilidade do tratamento e os resultados esperados.
Cuidados Especiais para Preservar seu Sorriso Aprimorado
Após o procedimento de colocação das facetas dentais em resina, é essencial seguir os cuidados recomendados pelo Dr. Sergio para preservar e manter seu sorriso aprimorado. Isso inclui uma rotina de higiene oral rigorosa, com escovação adequada, uso de fio dental e visitas regulares ao consultório para exames e limpeza dentária profissional. Dessa forma, você garantirá a durabilidade e o brilho das suas facetas dentais.
Perguntas Frequentes sobre Facetas Dentais em Resina:
Quais problemas dentários as facetas em resina podem corrigir?
As facetas em resina são ideais para corrigir problemas estéticos, como manchas, descolorações, irregularidades no formato dos dentes, espaçamentos e pequenas fraturas.
As facetas de resina são permanentes?
Sim, as facetas de resina são consideradas um tratamento permanente, pois envolvem a remoção de uma pequena quantidade de esmalte dental para acomodá-las. É uma decisão irreversível.
Como é o processo de colocação das facetas dentais em resina?
O processo geralmente envolve duas consultas. Na primeira, o dentista irá preparar os dentes, removendo uma fina camada de esmalte e tirando moldes precisos. Na segunda consulta, as facetas serão cuidadosamente coladas aos dentes, resultando em um sorriso rejuvenescido e harmonioso.
As facetas em resina exigem cuidados especiais?
Embora as facetas em resina sejam duráveis e resistentes, é essencial manter uma boa higiene oral, incluindo escovação regular, uso de fio dental e visitas periódicas ao dentista. Evitar hábitos prejudiciais, como morder objetos duros, também é importante para garantir a longevidade das facetas.
Quanto tempo duram as facetas dentais em resina?
Com os cuidados adequados, as facetas dentais em resina podem durar de 5 a 10 anos. Após esse período, elas podem precisar ser substituídas para manter a aparência estética.
As facetas de resina podem ser substituídas ou reparadas?
Sim, em caso de desgaste, descoloração ou danos às facetas de resina, elas podem ser substituídas ou reparadas pelo dentista. É importante comunicar qualquer problema ou desconforto ao seu profissional de odontologia para que eles possam avaliar e fornecer as soluções adequadas.
É possível clarear as facetas em resina caso eu queira dentes mais brancos?
As facetas dentais em resina não podem ser clareadas, portanto, é recomendado discutir suas preferências de cor com o dentista antes da colocação das facetas. Se você desejar dentes mais brancos, pode-se considerar o clareamento dos dentes naturais antes do procedimento de facetas.
As facetas de resina podem ser usadas em todos os dentes?
Embora as facetas em resina sejam versáteis, elas são mais frequentemente utilizadas nos dentes anteriores (frontais). O dentista avaliará cada caso individualmente e recomendará a melhor opção de tratamento para atender às suas necessidades específicas.
Quanto custa uma faceta de resina?
Existe uma norma do código de ética Odontológico que nos impede de divulgar valores em meios de comunicação e em propaganda. É um procedimento que demanda bastante trabalho do profissional e materiais excelentes. Além disso normalmente o indicado são 6 a 10 facetas na arcada superior. Sendo assim investimento razoável mas com alto potencial de impacto estético. Importante esclarecer que mesmo pagando, nem todos estarão aptos a receber as facetas.
Para quem este tratamento é indicado ou não?
Em geral, candidatos adequados para facetas dentárias incluem pessoas com dentes manchados, desgastados ou lascados, ou com pequenos espaços entre os dentes, pessoas com dentes levemente desalinhados, pessoas que desejam melhorar a estética de seu sorriso e que tenham bons hábitos de higiene oral.
No entanto, é importante observar que nem todos os pacientes são adequados para facetas dentárias. Por exemplo, pacientes jovens demais, pessoas com bruxismo severo ou com problemas dentários graves, pessoas que não cuidam da higiene bucal ou com gengivite ativa ou outros problemas de saúde bucal. Muitas vezes serão necessários outros tratamentos prévios e algumas vezes não será um tratamento indicado. Além disso, em alguns casos, pode ser mais apropriado considerar outras opções de tratamento, como coroas dentárias, ortodontia e clareamento dentário.
A decisão sobre a elegibilidade para facetas dentárias deve ser feita após uma avaliação individual realizada por um profissional de odontologia qualificado, um Dentista que queira te ver feliz e que queira o seu bem mais do que os seus bens… Portanto, se você estiver interessado em facetas dentárias, é aconselhável marcar uma consulta.
Esperamos que essas respostas tenham esclarecido suas dúvidas sobre as facetas dentais em resina. Se você está considerando esse tratamento estético, agende uma consulta com o Dr. Sergio na Clínica Muglia Odontologia em Vargem Grande Paulista para uma avaliação personalizada e obtenha um sorriso deslumbrante.
Pronto para transformar seu sorriso?
Agende uma avaliação com o Prof. Dr. Rafael Muglia e descubra o tratamento ideal para você.
AGENDAR AVALIAÇÃO AGORAReferências sobre Laminados Dentais em Resina
- Lim TW, Tan SK, Li KY, Burrow MF. SURVIVAL AND COMPLICATION RATES OF RESIN COMPOSITE LAMINATE VENEERS: A SYSTEMATIC REVIEW AND META-ANALYSIS. J Evid Based Dent Pract. 2023 Dec;23(4):101911. Epub 2023 Jul 17 PMID: 14511730 DOI: 10.1016/s0109-5641(03)00019-8
- Devoto, W., Saracinelli, M., & Manauta, J. (2010). Composite in everyday practice: how to choose the right material and simplify application techniques in the anterior teeth. European Journal of Esthetic Dentistry, 5(10), 102-124. PMID: 20305875 – Um guia prático que auxilia na escolha de materiais e na simplificação das técnicas de aplicação de resina composta em facetas dentais em resina.
Termos que as pessoas popularmente pesquisam quando estão procurando por laminados de resina composta ou facetas dentais em resina:
“Capas dentárias”, “Revestimentos dentários”, “Melhoramento estético dos dentes”, “Reparo cosmético dos dentes”, “Dentista estético”, “Tratamento odontológico de beleza”, “Dentes de artista”, “Dentes igual dos artistas”, “Revestimentos para sorriso perfeito”, “Restauração dentária estética”, “Tratamento para melhorar o sorriso”, “Correção cosmética dos dentes”, “Cobertura de dente para melhorar a aparência”, “dentes brancos dos famosos”, “dentes de artista”, “Facetas dentárias de resina”, “Facetas de resina dental”, “Tratamento estético dos dentes”, “Dentista de resina para dentes”, “Revestimento de dentes com resina” “lentes de contato dentária” (que na verdade é outra técnica), “Dentes de resina”. Algumas pessoas também procuram um método para clarear os dentes e pensam neste tipo de tratamento
